Mỡ len lỏi vào cơ bắp bởi thực phẩm siêu chế biến

Từ một thói quen ăn uống tưởng chừng vô hại, bên trong cơ thể có thể đang diễn ra những thay đổi âm thầm ở cơ bắp và khớp gối...

0:00 / 0:00
0:00
62-years-old-participant-fig-2b-6375.jpg

Hình ảnh trên thoạt nhìn giống như một lát thịt bò cao cấp với những đường vân mỡ dày đặc xen kẽ. Nhưng thực ra, đó lại là ảnh chụp MRI phần đùi của một phụ nữ 62 tuổi, người có tới 87% lượng calo tiêu thụ trong năm đến từ thực phẩm siêu chế biến.

Theo Tiến sĩ Zehra Akkaya, nhà nghiên cứu và cố vấn trong nhóm Nghiên cứu Hình ảnh Cơ Xương Khớp Lâm sàng và Chuyển giao tại Đại học California (San Francisco), chế độ ăn của người này chủ yếu gồm ngũ cốc ăn liền, kẹo socola, các loại thanh kẹo và nước ngọt có đường. Những lựa chọn tưởng chừng quen thuộc này lại để lại dấu ấn rõ rệt bên trong cơ thể.

Các vệt mỡ len lỏi giữa và trong từng sợi cơ không chỉ là một hình ảnh bất thường, mà còn có thể là dấu hiệu cảnh báo những vấn đề sức khỏe nghiêm trọng. Akkaya cho biết nhóm của bà đã phân tích mối liên hệ giữa thực phẩm siêu chế biến và lượng mỡ tích tụ trong cơ ở những người có nguy cơ loãng xương khớp gối.

Từ lâu, thực phẩm siêu chế biến đã bị liên hệ với tình trạng tăng cân, béo phì và nhiều bệnh mạn tính như ung thư, tim mạch, tiểu đường tuýp 2 hay trầm cảm. Thậm chí, chúng còn có thể làm giảm tuổi thọ.

Theo Trung tâm Kiểm soát và Phòng ngừa Dịch bệnh Mỹ, hơn 50% lượng calo mà người trưởng thành ở Mỹ tiêu thụ đến từ thực phẩm siêu chế biến. Ở trẻ em, con số này tăng lên 62%.

Điều đáng nói là ngay cả khi tỷ lệ tiêu thụ thấp hơn, tác động vẫn có thể thấy rõ. Trong nghiên cứu, một phụ nữ 61 tuổi khác chỉ tiêu thụ khoảng 29% calo từ thực phẩm siêu chế biến cũng xuất hiện tình trạng mỡ xen kẽ trong cơ đùi, dù mức độ nhẹ hơn.

Điều khiến các nhà nghiên cứu lo ngại là tất cả những người này đều chưa hề có dấu hiệu thoái hóa khớp gối tại thời điểm chụp. Dù vậy, chất lượng cơ của họ đã bắt đầu suy giảm, một tín hiệu âm thầm nhưng đáng chú ý về những rủi ro sức khỏe trong tương lai.

MỐI LIÊN HỆ GIỮA CƠ NHIỄM MỠ VÀ ĐAU KHỚP GỐI

Các tế bào mỡ làm yếu cơ bằng cách cản trở sự phát triển, ngăn các sợi cơ tái tạo đúng cách. Cơ yếu lại là một trong những nguyên nhân chính dẫn đến thoái hóa khớp gối, căn bệnh khớp phổ biến nhất hiện nay, ảnh hưởng tới hàng trăm triệu người trên thế giới.

Trước kia, bệnh thường gắn liền với tuổi già, nhưng thực tế mới cho thấy hơn một nửa số ca mắc mới lại xuất hiện ở những người dưới 55 tuổi, nhiều khả năng liên quan đến làn sóng béo phì đang gia tăng nhanh chóng trên toàn cầu.

“Cơ đùi rất quan trọng để giữ ổn định khớp gối, bất kỳ sự suy giảm sức mạnh hoặc độ săn chắc nào cũng có thể làm tăng áp lực cơ học lên khớp, đặc biệt ở người béo phì, khi trọng lượng cơ thể dư thừa làm tình trạng này nặng hơn”, Akkaya nói.

Không chỉ dừng lại ở vùng đùi, sự xuất hiện của mỡ trong cơ còn có thể phản ánh một vấn đề mang tính toàn thân. Bác sĩ chẩn đoán hình ảnh Miriam Bredella, giám đốc Viện Khoa học Lâm sàng và Chuyển giao tại NYU Langone Health cho biết nếu đã thấy mỡ xâm nhập vào cơ đùi, rất có thể các nhóm cơ khác như bắp chân, vai hay vùng bụng cũng đang trong tình trạng tương tự.

Hệ quả là chất lượng cơ suy giảm rõ rệt. Cơ không còn khỏe, không còn hoạt động hiệu quả như trước. Đây không chỉ là vấn đề về vận động mà còn là dấu hiệu cảnh báo cho nhiều rủi ro sức khỏe trong tương lai.

Những người có cơ yếu thường phải nằm viện lâu hơn khi mắc bệnh. Nếu cần phẫu thuật, khả năng hồi phục cũng kém hơn. Thậm chí, trong các nghiên cứu ở bệnh nhân ung thư, tình trạng này còn liên quan đến nguy cơ biến chứng cao hơn và khả năng tái phát bệnh.

THỰC PHẨM SIÊU CHẾ BIẾN CÓ PHẢI LÀ NGUYÊN NHÂN?

Một nghiên cứu mới đăng trên tạp chí Radiology đã phân tích ảnh chụp MRI của 615 người tham gia trong một dự án quy mô toàn quốc về thoái hóa khớp gối. Điều đáng chú ý là không ai trong số họ có dấu hiệu mắc bệnh tại thời điểm nghiên cứu. Trung bình, các đối tượng khoảng 60 tuổi và có chỉ số BMI ở mức 27, tức là thuộc nhóm thừa cân nhẹ.

Theo phân loại BMI, từ 25 - 29,9 là thừa cân, 30 – 34,9 là béo phì, 35 – 39,9 là béo phì độ 2 và trên 40 là béo phì nặng.

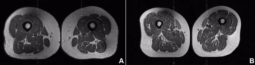
Khi so sánh cụ thể, các nhà nghiên cứu nhận thấy một chi tiết khá bất ngờ. Người phụ nữ 61 tuổi chỉ ăn khoảng 29,5% thực phẩm siêu chế biến có chỉ số BMI cao hơn một chút (32,6) và cũng ít vận động hơn.

Trong khi đó, người phụ nữ còn lại dù có BMI thấp hơn (31,8) nhưng lại tiêu thụ tới 87,1% thực phẩm siêu chế biến. Kết quả cho thấy người ăn nhiều thực phẩm siêu chế biến hơn lại có lượng mỡ tích tụ trong cơ đùi cao hơn rõ rệt.

image-of-fat-inside-muscles-from-upf.jpg
Chế độ ăn của người phụ nữ bên trái có 29,5% là thực phẩm siêu chế biến, trong khi chế độ ăn của người phụ nữ bên phải có tới 87,1% là thực phẩm siêu chế biến

Theo Tiến sĩ Thomas Link, tác giả cao cấp của nghiên cứu, lượng calo tiêu thụ không phải là yếu tố quyết định trong trường hợp này. Nói cách khác, không chỉ ăn nhiều hay ít, mà ăn gì mới là điều quan trọng. Càng tiêu thụ nhiều thực phẩm siêu chế biến, lượng mỡ trong cơ càng tăng, bất kể tổng lượng calo nạp vào cơ thể.

Dù vậy, các nhà khoa học vẫn thận trọng khi đưa ra kết luận. Nghiên cứu chưa thể chứng minh rằng thực phẩm siêu chế biến trực tiếp gây ra tình trạng mỡ xâm nhập vào cơ, nhưng mối liên hệ giữa hai yếu tố này là rất rõ ràng.

Vẫn còn nhiều câu hỏi chưa có lời giải, chẳng hạn như cần ăn trong bao lâu thì cơ bị ảnh hưởng hay liệu việc ngừng tiêu thụ có giúp cơ phục hồi hoàn toàn hay không.

Tuy nhiên, một điều đã được khẳng định là tình trạng này hoàn toàn có thể cải thiện. Khi kết hợp tập luyện thể chất với chế độ ăn lành mạnh, chất lượng cơ bắp có thể được phục hồi đáng kể. Dù việc cải thiện sẽ dễ dàng hơn ở người trẻ, nhưng ở bất kỳ độ tuổi nào, thay đổi lối sống vẫn mang lại lợi ích rõ rệt cho sức khỏe cơ thể.

CÁCH GIẢM MỠ, TĂNG CƠ VÀ BẢO VỆ KHỚP

Để bảo vệ khớp gối và cải thiện chất lượng cơ, việc lựa chọn hình thức vận động phù hợp là rất quan trọng. Theo Tiến sĩ Thomas Link, các môn thể thao có cường độ va chạm cao như bóng rổ hay tennis có thể gây thêm áp lực lên khớp, thậm chí làm tổn thương khớp gối nếu tập luyện lâu dài. Thay vào đó, những bài tập tác động thấp sẽ an toàn và hiệu quả hơn.

Việc tập luyện nên tập trung vào các nhóm cơ đóng vai trò nâng đỡ khớp gối, bao gồm cơ đùi trước, đùi sau, cơ mông và bắp chân. Những bài tập đơn giản như squat dựa tường, bước lên bục, nâng chân khi đứng hay nâng gót chân không chỉ dễ thực hiện mà còn giúp tăng cường sức mạnh và độ ổn định cho khớp.

Ngoài ra, máy tập elliptical cũng được đánh giá rất cao vì vừa giảm áp lực lên khớp vừa hỗ trợ cải thiện thể lực. Kết hợp thêm các bài tập tạ phù hợp sẽ giúp cơ bắp phát triển tốt hơn.

hz21-ex59-lifestyle-front-1.jpg
Máy tập elliptical cũng được đánh giá rất cao vì vừa giảm áp lực lên khớp vừa hỗ trợ cải thiện thể lực

Bên cạnh vận động, chế độ ăn uống đóng vai trò không kém phần quan trọng. Các chuyên gia khuyến nghị nên ưu tiên những bữa ăn cân bằng từ thực phẩm tự nhiên.

Cơ thể cần protein để xây dựng và duy trì cơ bắp nhưng việc phụ thuộc vào các thanh protein hay thực phẩm bổ sung siêu chế biến không phải là lựa chọn tốt. Nhiều sản phẩm trong số này chứa lượng đường cao và không thực sự có lợi cho sức khỏe như quảng cáo.

Thay vào đó, có thể dần điều chỉnh chế độ ăn bằng cách chú ý hơn đến thành phần thực phẩm. Nên ưu tiên những sản phẩm ít qua chế biến, bổ sung nhiều ngũ cốc nguyên hạt, rau xanh, các loại đậu và trái cây tươi hoặc đông lạnh.

Đồ uống cũng là yếu tố dễ bị bỏ qua. Các loại nước ngọt hay đồ uống có đường gần như không mang lại giá trị dinh dưỡng, vì vậy nước lọc vẫn là lựa chọn tốt nhất. Khi ăn ngoài, việc chọn các quán ăn địa phương thay vì chuỗi thức ăn nhanh cũng giúp bạn hạn chế đáng kể lượng thực phẩm siêu chế biến đưa vào cơ thể.

Xem thêm

Có thể bạn quan tâm

Vì sao giấc mơ về người bạn AI không thể trở thành sự thật?

Vì sao giấc mơ về người bạn AI không thể trở thành sự thật?

Một người bạn luôn lắng nghe, không phán xét và luôn phản hồi đúng như mong đợi nghe có vẻ là giải pháp hoàn hảo cho sự cô đơn đang gia tăng. Thế nhưng, khi dạng kết nối đó đến từ AI, ranh giới giữa sự an ủi và sự lệ thuộc bắt đầu trở nên mong manh…

Nhiều quốc gia khẩn trương truy vết hantavirus

Nhiều quốc gia khẩn trương truy vết hantavirus

Ổ dịch hantavirus liên quan tới du thuyền MV Hondius đang khiến nhiều quốc gia từ Mỹ, Anh đến Singapore khẩn trương truy vết và giám sát y tế, sau khi WHO xác nhận nhiều ca nhiễm và ba trường hợp tử vong giữa lúc lo ngại về nguy cơ lây lan xuyên biên giới…